Resources

Q

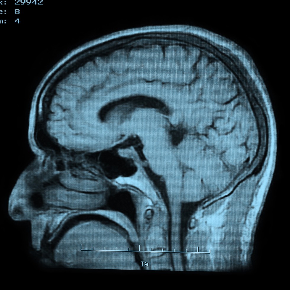
What is an MRI of the Brain?

A

MRI Brain

Magnetic resonance imaging, or MRI, is a method of producing detailed pictures of organs and body tissues by exposing a patient to radio waves in a strong magnetic field. The field is measured and analyzed by a computer, which forms two or three-dimensional images that may be viewed on a TV monitor. Because it uses radio waves and a magnetic field rather than x-rays, there is no exposure to radiation. An MRI of the brain provides high quality two and three-dimensional images that can show both surface and deep brain structures with high clarity and accurate anatomical detail. An MRI is used to detect changes that occur in these structures over time.

Q

Why might my doctor recommend an MRI of the brain?

A

If you experience seizures, memory loss, hearing loss, or dizziness your doctor may recommend an MRI of the brain to detect, diagnose, and/or assess tumors, multiple sclerosis, stroke, dementia, hemorrhage, cerebral palsy, or meningitis in addition to other diseases of the brain. An MRI of the brain also is useful in post-operative evaluations.