Resources

Q

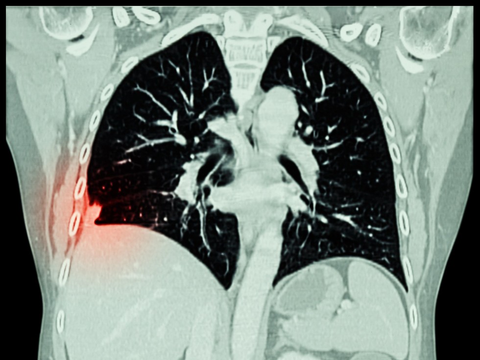
Why is CT scanning used to detect lung cancer?

A

A CT of the chest is used to take high-resolution pictures of the lungs, allowing for the detection of abnormal spots called nodules. These nodules usually are too small to be seen on a chest X-ray. Studies show that low-dose CT screening greatly increases the likelihood of detecting lung cancer at an earlier and more curable stage than chest X-rays. According to researchers:

  • Using CT, nodules were detected three times as often as on chest X-rays.
  • Malignant tumors were detected four times as often as on chest X-rays.
  • Stage I (the earliest stage of invasive lung cancer) malignant tumors were detected six times as often as on chest X-rays.
  • Malignant tumors detected using CT were substantially smaller, meaning they were detected earlier, than those detected on chest X-rays.
Q

Who should have a CT screening for lung cancer?

A

You should talk to you doctor about being screened if you:

  • Smoke cigarettes, cigars or other tobacco products
  • Are exposed to second-hand smoke
  • Have a medical condition of the chest, such as tuberculosis
  • Are exposed to significant amounts of radon, asbestos, coal dust, or air pollution.
Q

How should I prepare for my CT screening?

A

To prepare for a CT scan, we recommend you dress comfortably. Also, avoid any clothing that contains metal objects such as, snaps and zippers because they can affect the CT image. You will not be asked to wear a gown unless the technician feels your clothing could affect the results of the scan. Depending on your individual scan, you may receive a contrast injection. Contrast material is a dye that makes organs and blood vessels more visible when you are scanned. If contrast is used, you will be asked not to eat or drink for 4 hours prior to the procedure. After the scan you should drink plenty of liquids to help flush the contrast out of your system.

Q

What type of equipment is used for CT screening?

A

The CT scanner is a specialized machine that looks like a large square doughnut. You will lie on a movable table that goes in and out of the center of the machine. Most computed tomography studies use an advanced unit called a spiral CT that records a large number of pictures in a short time.

Q

How does the CT screening work?

A

CT scanning requires you to lie flat on your back. A rotating device spins around your body creating a beam of X-rays. A detector takes snapshots of the beam after it passes through your body and a powerful computer program then processes the images and displays them in different ways for examination. During the scan you will be asked to hold your breath for 30-40 seconds. The technician will communicate with you throughout the procedure, but will need to leave the room briefly to run the computer. A radiologist then reviews the images to look at the area in question. The scan will take about 5-10 minutes and the entire experience should last no more than 30 minutes.